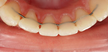
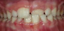
Health and Success − Aesthetics and Function